Fundamentem wyjątkowych właściwości Voco Grandio Disc Multicolor jest zaawansowana technologia nanoceramiczno-hybrydowa, bazująca na wieloletnim doświadczeniu firmy VOCO w dziedzinie materiałów kompozytowych. Materiał ten stanowi inteligentne połączenie zalet ceramiki, takich jak wysoka wytrzymałość i odporność na ścieranie, z korzyściami płynącymi z zastosowania kompozytów, w tym łatwością obróbki, możliwością polerowania i większą łagodnością dla zębów przeciwstawnych.
Kluczowym elementem wyróżniającym Grandio Disc jest jego ekstremalnie wysoka zawartość wypełniacza, wynosząca 86% wagowo. Jest to najwyższy wskaźnik wypełnienia w tej klasie materiałów CAD/CAM, co bezpośrednio przekłada się na jego doskonałe parametry fizyczne. Tak wysoki udział fazy nieorganicznej, osiągnięty dzięki zaawansowanej nanotechnologii VOCO, jest fundamentem jego imponującej wytrzymałości mechanicznej, zwiększonej odporności na ścieranie i długoterminowej stabilności. To właśnie ta unikalna kompozycja pozwala materiałowi osiągnąć właściwości zbliżone do ceramiki pod względem wytrzymałości, jednocześnie zachowując cechy biomimetyczne i łatwość obróbki charakterystyczną dla kompozytów, co stanowi rozwiązanie często spotykanego kompromisu w materiałoznawstwie stomatologicznym.
Wstępne dane fizyczne potwierdzają solidność materiału: wytrzymałość na zginanie dwuosiowe osiąga wartości rzędu 333 MPa, a wytrzymałość na ściskanie wynosi około 530 MPa. Co istotne, moduł elastyczności materiału (18.28 GPa) jest bardzo zbliżony do modułu elastyczności naturalnej zębiny. Te parametry świadczą o jego zdolności do przenoszenia obciążeń występujących w jamie ustnej, co czyni go niezawodnym wyborem dla szerokiego zakresu uzupełnień jednozębowych.
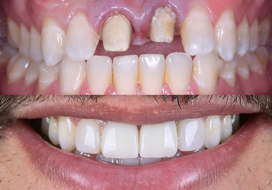
Jednym z największych atutów Voco Grandio Disc Multicolor jest jego zdolność do tworzenia wysoce estetycznych uzupełnień, które doskonale imitują naturalny wygląd zębów. Wersja Multicolor została specjalnie opracowana, aby sprostać najwyższym wymaganiom estetycznym, integrując w jednym dysku płynne przejścia kolorystyczne.
Sekret tkwi w innowacyjnej Technologii Niewidocznych Warstw (Invisible Layer Technology). Dysk składa się z trzech zintegrowanych warstw kolorystycznych: przysiecznej (incisal), zębinowej (dentine – odpowiadającej za podstawowy kolor zęba) oraz przyszyjkowej (cervical). Jednak nie jest to proste nałożenie warstw. Specjalna kompozycja materiału i jego właściwości optyczne – zdolność do specyficznego odbijania i pochłaniania światła – sprawiają, że granice między warstwami zacierają się, tworząc niezwykle płynne i naturalne przejście tonalne od brzegu siecznego do szyjki zęba. Dzięki temu uzupełnienie nabiera wyjątkowej witalności i głębi koloru, a efekt ten osiągany jest bez konieczności skomplikowanej i czasochłonnej indywidualnej charakteryzacji.
Dodatkowo, materiał wykazuje intensywny efekt kameleona, co oznacza, że potrafi optycznie adaptować się do koloru sąsiednich zębów, zapewniając harmonijne wkomponowanie uzupełnienia w uśmiech pacjenta. To właśnie zaawansowana nauka o materiałach i ich właściwościach optycznych, a nie tylko fizyczne ułożenie warstw, jest kluczem do osiągnięcia tak naturalnego i estetycznego rezultatu w efektywny sposób.
Voco Grandio Disc Multicolor dostępny jest w sześciu popularnych kolorach systemu VITA®: A1, A2, A3, A3.5, B1 oraz C2, gdzie oznaczenie koloru odpowiada barwie środkowej warstwy zębinowej.

Voco Grandio Disc Multicolor oferuje zestaw korzyści, które obejmują zarówno aspekty kliniczne, jak i laboratoryjne, czyniąc go atrakcyjnym wyborem dla nowoczesnej protetyki.
Materiał charakteryzuje się wysoką wytrzymałością mechaniczną, potwierdzoną wartościami wytrzymałości na zginanie (333 MPa) i ściskanie (530 MPa). Zapewnia to niezawodność i trwałość uzupełnień nawet pod wpływem znacznych sił żucia.
Jednocześnie, pomimo swojej wytrzymałości, Grandio Disc Multicolor jest wyjątkowo łagodny dla zębów przeciwstawnych (antagonistów). Jego odporność na ścieranie jest doskonała dzięki wysokiej zawartości wypełniacza (86% wag.), ale w przeciwieństwie do tradycyjnych ceramik, nie powoduje nadmiernego zużycia szkliwa zębów naturalnych w zgryzie. Jest to istotna zaleta kliniczna, chroniąca naturalne uzębienie pacjenta.
Wytrzymałość materiału pozwala również na projektowanie i frezowanie uzupełnień o bardzo cienkich, a jednocześnie stabilnych brzegach. Jest to szczególnie korzystne przy wykonywaniu licówek czy koron z minimalnie inwazyjnym preparowaniem, co pozwala na maksymalne zachowanie zdrowych tkanek zęba.
Voco Grandio Disc Multicolor został zaprojektowany z myślą o długotrwałym funkcjonowaniu w jamie ustnej, oferując właściwości naśladujące naturalne tkanki zęba.
Istotną zaletą jest możliwość naprawy wewnątrzustnej. W przypadku drobnych uszkodzeń czy potrzeby korekty, uzupełnienie można łatwo naprawić przy użyciu standardowych materiałów kompozytowych i technik adhezyjnych, co jest znacznie prostsze i mniej inwazyjne niż w przypadku uzupełnień ceramicznych.
Materiał wykazuje właściwości fizyczne zbliżone do naturalnych tkanek zęba. Jego moduł elastyczności, podobny do zębiny (ok. 18 GPa), oraz współczynnik rozszerzalności cieplnej zbliżony do naturalnego zęba mają istotne znaczenie kliniczne. Lepsza absorpcja wstrząsów i sił żucia może zmniejszać koncentrację naprężeń na granicy uzupełnienia i cementu, potencjalnie redukując ryzyko odcementowania. Podobna reakcja na zmiany temperatury w jamie ustnej minimalizuje naprężenia termiczne, co, jak wskazują doświadczenia techników, może zmniejszać ryzyko pęknięć i uszkodzeń uzupełnienia w długim okresie. Ta funkcjonalna harmonia z otoczeniem jamy ustnej, wykraczająca poza samo naśladowanie wyglądu zęba, jest wyrazem głębszego poziomu biomimetyki i prawdopodobnie przyczynia się do klinicznej długowieczności uzupełnień.
Poniższa tabela podsumowuje kluczowe właściwości fizyczne Voco Grandio Disc Multicolor w porównaniu do przybliżonych wartości dla naturalnej zębiny:
|
Właściwość |
Voco Grandio Disc Multicolor |
Naturalna zębina |
Znaczenie |
|
Zawartość wypełniacza (% wag.) |
86% |
~70% |
Wysoka wytrzymałość, odporność na ścieranie |
|
Wytrzymałość na zginanie (dwuosiowa) |
~333 MPa |
~200 MPa |
Trwałość pod obciążeniem |
|
Wytrzymałość na ściskanie |
~530 MPa |
~300 MPa |
Odporność na siły żucia |
|
Moduł elastyczności |
~18 GPa |
~15−20 GPa |
Elastyczność zbliżona do zęba, absorpcja wstrząsów |
|
Rozszerzalność cieplna |
Zbliżona do zęba |
Zębina |
Mniejsze naprężenia termiczne, mniejsze ryzyko pęknięć |
|
Twardość Vickersa |
154.6 HV |
~70 HV |
Wysoka odporność na zarysowania |
|
Absorpcja wody (ISO4049) |
13.6 µg/mm³ |
- |
Niska absorpcja wody, stabilność wymiarowa |
|
Rozpuszczalność w wodzie (ISO4049) |
<0.1 µg/mm³ |
- |
Minimalna rozpuszczalność, trwałość |
|
Wymagane wypalanie |
Nie |
Nie dotyczy |
Uproszczony, szybszy przepływ pracy |
|
Możliwość naprawy wewnątrzustnej |
Tak |
Nie dotyczy |
Łatwiejsza korekta drobnych uszkodzeń |
|
Łagodność dla zębów przeciwstawnych |
Wysoka |
Zębina |
Minimalne zużycie szkliwa antagonistów |
Uwaga: Wartości dla naturalnej zębiny są przybliżone i mogą się różnić od rzeczywistych.
Voco Grandio Disc Multicolor jest materiałem wszechstronnym, przeznaczonym do wykonywania szerokiego wachlarza najczęściej stosowanych stałych uzupełnień jednozębowych. Jego wskazania obejmują:
Ta wszechstronność wynika z unikalnego połączenia właściwości materiału: wysokiej wytrzymałości niezbędnej dla uzupełnień w odcinku bocznym, doskonałej estetyki dzięki technologii Multicolor i efektowi kameleona dla strefy przedniej, oraz możliwości precyzyjnego frezowania cienkich elementów, jak w przypadku licówek czy brzegów koron przy minimalnie inwazyjnej preparacji. Konsekwentne ograniczanie wskazań do uzupełnień jednozębowych we wszystkich dostępnych materiałach sugeruje, że jest to celowo zdefiniowana i zwalidowana przez producenta nisza aplikacyjna, w której materiał ten oferuje optymalny balans właściwości. Nie jest on prezentowany jako rozwiązanie dla wielopunktowych mostów protetycznych.

Skuteczność i niezawodność uzupełnień wykonanych z materiałów Grandio znajduje potwierdzenie w badaniach klinicznych oraz pozytywnych opiniach użytkowników.
Podsumowując, dostępne dane kliniczne i doświadczenia użytkowników wskazują, że Voco Grandio Disc Multicolor jest niezawodnym i sprawdzonym klinicznie materiałem dla wskazanych zastosowań. Jego unikalna propozycja wartości leży w połączeniu wystarczającej i porównywalnej z innymi materiałami wydajności klinicznej ze znaczącymi korzyściami w zakresie przepływu pracy, łatwości obsługi i właściwości biomimetycznych.

Nasze Laboratorium Protetyczne z dumą wykorzystuje Voco Grandio Disc Multicolor, realizując swoje zobowiązanie do oferowania najnowocześniejszych rozwiązań protetycznych. Wybór tego zaawansowanego materiału jest częścią naszej strategii dostarczania uzupełnień, które spełniają najwyższe standardy jakości, estetyki i funkcjonalności.
Decydując się na współpracę z nami, lekarze dentyści zyskują pewność, że korzyści płynące z unikalnych właściwości Grandio Disc Multicolor – naturalna estetyka, wysoka wytrzymałość, efektywność procesu i biomimetyka – zostaną w pełni przełożone na finalne uzupełnienie. Nasz zespół posiada bogate doświadczenie i wiedzę w zakresie cyfrowego projektowania (CAD) i precyzyjnego frezowania (CAM), co gwarantuje optymalne wykorzystanie potencjału tego materiału i uzyskanie doskonałych rezultatów.
Wierzymy, że sukces leczenia protetycznego opiera się na ścisłej współpracy między gabinetem stomatologicznym a laboratorium. Stosowanie przewidywalnych, wysokiej jakości materiałów, takich jak Grandio Disc Multicolor, ułatwia tę współpracę, zapewniając spójne i niezawodne wyniki. Wybierając uzupełnienia z Grandio Disc Multicolor wykonane w Naszym Laboratorium, wybieracie Państwo partnera, który inwestuje w technologię i materiały, aby dostarczać najlepsze możliwe rozwiązania dla Państwa pacjentów.
Zachęcamy do kontaktu z Naszym Laboratorium, aby omówić konkretne przypadki kliniczne lub dowiedzieć się więcej o możliwościach, jakie oferują uzupełnienia wykonane z Voco Grandio Disc Multicolor.
Voco Grandio Disc Multicolor stanowi inteligentny i nowoczesny wybór dla szerokiego zakresu jednozębowych uzupełnień protetycznych. Oferuje on optymalną równowagę pomiędzy kluczowymi cechami:
Materiał ten dowiódł swojej wartości klinicznej i jest sprawdzonym rozwiązaniem dla koron, wkładów, nakładów, licówek oraz koron na implantach. Wybór uzupełnień wykonanych przez Nasze Laboratorium Protetyczne z użyciem Voco Grandio Disc Multicolor to decyzja o postawieniu na jakość, niezawodność i zaawansowaną technologię. To materiał, który doskonale wpisuje się w potrzeby współczesnej stomatologii cyfrowej, umożliwiając tworzenie pięknych, trwałych i funkcjonalnych uśmiechów.